Published by the Students of Johns Hopkins since 1896
November 30, 2025
November 30, 2025 | Published by the Students of Johns Hopkins since 1896

meningitis

·

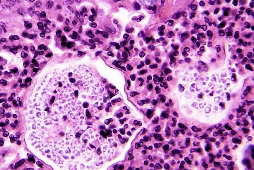
COURTESY OF ML COHEN VIA FLICKR Over 200 cases of meningitis have now been reported across 15 states.

Related Media

News-Letter Magazine