Published by the Students of Johns Hopkins since 1896
March 24, 2026
March 24, 2026 | Published by the Students of Johns Hopkins since 1896

Images


 Dominick D./ CC-BY-SA 2.0
Troian Bellasario, Ashley Benson, Lucy Hale, Shay Mitchell and Sasha Pieterse (L to R) have starred in the hit teen drama since 2010.

Dominick D./ CC-BY-SA 2.0 Troian Bellasario, Ashley Benson, Lucy Hale, Shay Mitchell and Sasha Pieterse (L to R) have starred in the hit teen drama since 2010.

Dominick D./ CC-BY-SA 2.0
Ashley Benson, Lucy Hale and Shay Mitchell (L to R) have starred in the hit teen drama since 2010.

B5 Pretty Little Liars1

Dominick D./ CC-BY-SA 2.0 Ashley Benson, Lucy Hale and Shay Mitchell (L to R) have starred in the hit teen drama since 2010.

 PUBLIC DOMAIN
Growing crops will be necessary for survival in space, a possibility due to the new NASA bill.

PUBLIC DOMAIN Growing crops will be necessary for survival in space, a possibility due to the new NASA bill.

 PUBLIC DOMAIN
Growing crops will be necessary for survival in space, a possibility due to the new NASA bill.

PUBLIC DOMAIN Growing crops will be necessary for survival in space, a possibility due to the new NASA bill.

PUBLIC DOMAIN
Growing crops will be necessary for survival in space, a possibility due to the new NASA bill.

B7_Space

PUBLIC DOMAIN Growing crops will be necessary for survival in space, a possibility due to the new NASA bill.

 PUBLIC DOMAIN
A mutation in a particular gene causes people’s days to be longer.

PUBLIC DOMAIN A mutation in a particular gene causes people’s days to be longer.

 Public Domain
A rare gene mutation may make those who have it more tired.

Public Domain A rare gene mutation may make those who have it more tired.

PUBLIC DOMAIN
A mutation in a particular gene causes people’s days to be longer.

B8_Gene

PUBLIC DOMAIN A mutation in a particular gene causes people’s days to be longer.

Public Domain
A rare gene mutation may make those who have it more tired.

B7_Sleep

Public Domain A rare gene mutation may make those who have it more tired.

olaf tausch/CC-by-3.0
Tadpole tail tissue was used to regenerate fully functional eyes.

B9_Tadpoles

olaf tausch/CC-by-3.0 Tadpole tail tissue was used to regenerate fully functional eyes.

Karl marquez/CC-By--SA-3.0
Stem cells can regrow various tissues.

B8_Stem

Karl marquez/CC-By--SA-3.0 Stem cells can regrow various tissues.

 WAMM/CC-By-3.0
Compounds in synthetic marijuana have harmful side effects, unlike natural marijuana.

WAMM/CC-By-3.0 Compounds in synthetic marijuana have harmful side effects, unlike natural marijuana.

WAMM/CC-By-3.0
Compounds in synthetic marijuana have harmful side effects, unlike natural marijuana.

B8_Marijuana

WAMM/CC-By-3.0 Compounds in synthetic marijuana have harmful side effects, unlike natural marijuana.

 SayCheeeeeese/Public domain
A new type of solar cell is both highly efficient and long-lasting.

SayCheeeeeese/Public domain A new type of solar cell is both highly efficient and long-lasting.

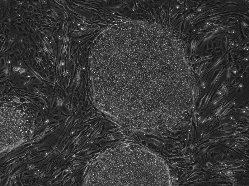
 PUBLIC DOMAIN
The discovery of where blood comes from could give insights on blood-related diseases.

PUBLIC DOMAIN The discovery of where blood comes from could give insights on blood-related diseases.

News-Letter Magazine